Наші послуги
Нехай Ваша посмішка сяє – наші послуги у Wiener Neudorf
У стоматології «Brilliant Smiles» у Wiener Neudorf ми пропонуємо повний спектр сучасних стоматологічних послуг. Ми зосереджуємося на естетичних процедурах, імплантації та ортодонтії, що доповнюється комплексним доглядом за здоров'ям Ваших зубів: гігієна порожнини рота, відбілювання зубів, корекція ясен, пародонтологія, зубні протези, хірургічне втручання, невідкладна допомога та лікування під загальним наркозом.
Це гарантує, що у нас Ви знайдете все необхідне – від профілактичного догляду до комплексних естетичних процедур – для здорової та сяючої посмішки.

Ми дбаємо про здоров’я й красу Ваших зубів, поєднуючи сучасні технології з щирою турботою про кожного пацієнта.
Ми пропонуємо Вам

Естетична стоматологія
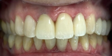
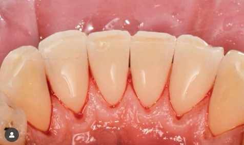
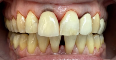
За допомогою вінірів, коронок, інлейів та високоякісних білих пломб ми допомагаємо Вам досягти природно красивої посмішки. Наші стоматологи поєднують естетичну стоматологію з найсучаснішими технологіями – для вражаючих результатів.

Імплантологія
Ми пропонуємо високоякісні зубні імплантати та кісткову пластику з використанням матеріалів німецького виробництва. Міцні, функціональні та естетично привабливі – забезпечать Вам міцний прикус та вражаючу посмішку.

Ортодонтія
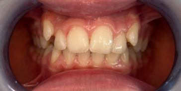
Чи то елайнери, ретейнери, чи класичні брекети – ми виправляємо неправильний прикус точно та індивідуально. Мета – рівні зуби та функціонально правильний прикус – для дорослих, підлітків та дітей.

Гігієна порожнини рота та відбілювання
Наша професійна та ретельна чистка гарантує здоров'я зубів та свіжий подих. За бажанням ми можемо поєднати гігієну порожнини рота з відбілюванням зубів – для візуально сяючої білосніжної посмішки.

Пародонтальна терапія
Здорові ясна – це основа міцних зубів та загального благополуччя. Наша пародонтологічна терапія ефективно та стійко лікує запалення ясен – для довгострокового здоров’я порожнини рота.

Корекція ясен
Делікатна корекція ясен забезпечує гармонію між зубами та яснами. Це призводить до естетично приємної та, перш за все, природної, сяючої посмішки з ідеальними пропорціями.

Зубні протези
Ми замінюємо відсутні зуби високоякісними зубними протезами – від коронок та мостів до повних зубних протезів усіх видів. Функціональні, довговічні та візуально бездоганні, а також індивідуально та естетично підібрані.

Хірургія порожнини рота
Наші досвідчені стоматологи виконують хірургічні процедури та операції, такі як видалення зубів та операції з видалення зубів мудрості. Завжди використовуючи найсучасніші технології, високий рівень емпатії та всеобічний досвід.

Загальна анестезія
Для пацієнтів з страхом стоматологічних процедур, дітей та для деяких хірургічних втручань ми пропонуємо лікування під загальним наркозом. Наркоз виконує досвідчений анестезіолог.

Гострий зубний біль та невідкладна допомога
У разі гострого зубного болю, нещасних випадків або надзвичайних ситуацій ми надаємо швидку, надійну та експертну допомогу. Запишіться на прийом у стислі терміни – ми готові допомогти Вам, коли це дійсно важливо.

Профілактика та огляд зубів
Регулярні огляди – це ключ до здорових зубів. Використовуючи найсучасніші рентгенівські технології та діагностику, ми виявляємо проблеми на ранніх стадіях – до того, як вони почнуть Вас турбувати.

Гігієна порожнини рота та герметизація фісур у дітей
Рання практика веде до досконалості: дітям особливо корисно регулярно професійне чищення зубів. У BRILLIANT SMILES ми застосовуємо чуйний та грайливий підхід, щоб створити позитивний стоматологічний досвід.
Результати, які говорять самі за себе






Прозоре виставлення рахунків – справедливе та зрозуміле
Ми надаємо великого значення наданню чіткої інформації щодо витрат та відшкодувань. Ми з радістю проконсультуємо Вас щодо різних варіантів оплати та допоможемо Вам подати заявку до Вашого медичного страхування.


