Ästhetische Zahnmedizin
Ästhetische Zahnmedizin in Mödling – Ihr Weg zu einem strahlenden Lächeln
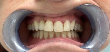
Verfärbungen, Sprünge oder kleine Fehlstellungen können die Wirkung Ihres Lächelns beeinträchtigen. Bei Brilliant Smiles in Wiener Neudorf verbinden wir modernste ästhetische Zahnmedizin mit individueller Beratung, um Ihre Zähne gesund, natürlich schön und selbstbewusst erstrahlen zu lassen.

Unsere Leistungen im Überblick
Zahnästhetik
Wir bieten Ihnen ein breites Spektrum modernster Methoden – individuell abgestimmt auf Ihre Wünsche
Vollkeramikkronen & Keramikinlays für höchste Qualität und Langlebigkeit
Keramikveneers als elegante Lösung für makellose Frontzähne
Minimalinvasive Frontzahnverschönerung mit Composite – eine besonders schonende und kostengünstigere Alternative zu Veneers, die in vielen Fällen hervorragende ästhetische Ergebnisse liefert
Ästhetische Front- und Seitenzahnfüllungen in hochwertigem Composite, optimal an Ihre Zahnfarbe angepasst
Bleaching für ein strahlend weißes Lächeln

Ihr Vorteil bei
Brilliant Smiles
Natürlich wirkende Ergebnisse statt „künstliches Zahnarztlächeln“
Minimalinvasive Verfahren, die Ihre Zahnsubstanz schonen
Modernste Technik & Materialien für höchste Präzision
Individuelle Beratung mit verschiedenen Behandlungsoptionen



Fazit: Ob kleine Schönheitskorrekturen oder umfassende ästhetische Lösungen – wir finden gemeinsam den Weg zu Ihrem Traumlächeln. Unsere Zahnärzte in Wiener Neudorf (Bezirk Mödling) kombinieren Fachwissen, Erfahrung und modernste Materialien für Ergebnisse, die begeistern.
FAQs das Wichtigste im Überblick
Sind Veneers immer notwendig für schöne Frontzähne?
Nein. Veneers sind eine hervorragende Lösung, aber nicht immer zwingend notwendig. In vielen Fällen können wir Ihre Frontzähne auch minimalinvasiv mit Composite verschönern – eine schonende und oft kostengünstigere Alternative.
Wie lange hält ein Bleaching?
Das hängt von Ihren Lebensgewohnheiten ab (z. B. Kaffee, Tee, Nikotin). In der Regel hält ein professionelles Bleaching 1–2 Jahre. Durch regelmäßige Mundhygiene und Auffrischungen können die Ergebnisse länger anhalten.
Sieht man, wenn ich eine ästhetische Zahnbehandlung hatte?
Nein. Unser Ziel ist ein natürliches Lächeln – keine unnatürlich weißen oder auffälligen Zähne. Kronen, Veneers und Füllungen passen wir exakt an Ihre Zahnfarbe und Gesichtsästhetik an.
Ist eine Frontzahnverschönerung mit Composite stabil?
Ja. Moderne Komposite sind sehr widerstandsfähig und langlebig. Sie bieten eine hervorragende Ästhetik und können bei Bedarf unkompliziert ausgebessert oder erneuert werden.
Übernimmt die Krankenkasse ästhetische Behandlungen?
In der Regel nicht, da es sich um Privatleistungen handelt. Wir erstellen Ihnen jedoch einen transparenten Heilkostenplan und helfen bei der Abklärung mit Ihrer privaten Zusatzversicherung.


